《Nature Medicine》重磅突破:巨噬细胞外陷阱与血小板激活驱动肌溶解肾损伤,揭示治疗新靶点-技术前沿-资讯-生物在线

《Nature Medicine》重磅突破:巨噬细胞外陷阱与血小板激活驱动肌溶解肾损伤,揭示治疗新靶点

作者:欣博盛生物科技有限公司 暂无发布时间 (访问量:19081)

本研究聚焦于横纹肌溶解症引发的急性肾损伤(AKI)这一临床难题,深入探究了巨噬细胞外陷阱(METs)在其中的关键作用。研究首次揭示了血小板激活诱导巨噬细胞释放METs,进而加剧AKI的全新机制,并发现针对此通路的潜在治疗手段,为横纹肌溶解症引发的AKI治疗提供了新思路。

Nature Medicine

#肌溶解 是一种由骨骼肌损伤引起的严重综合征,随后受损肌细胞分解产物进入全身循环。肌损伤通常由剧烈运动、肌肉缺氧、药物或滥用药物引起,可能导致危及生命的并发症,如 #急性肾损伤(AKI)。肌溶解及其AKI并发症也可能发生在压榨综合征中,#挤压综合征(crush syndrome)是一种常见于自然灾害(如地震)和人为灾害(如战争和恐怖主义)受害者的紧急状况。人们认为,受损肌肉释放的肌红蛋白会触发这种AKI形式的肾功能障碍。最近,有研究将巨噬细胞与肌溶解引起的 #AKI 的疾病病理联系起来,但确切的分子机制尚不清楚。

 

在本研究中,我们展示了在肌溶解小鼠模型中,巨噬细胞释放由DNA纤维和颗粒蛋白组成的 #细胞外陷阱(ETs)。肌溶解期间从坏死肌细胞中释放的血红蛋白激活血小板增强了巨噬细胞ETs( #METs)的产生,通过增加细胞内活性氧(ROS)生成和组蛋白去精氨酸化。在这里,我们首次报告了METs和血小板在肌溶解引起的AKI中作为肌红蛋白衍生血红蛋白感应器的这一意外作用。这一先前未知的机制可能成为治疗该疾病的靶点。

 

研究方法

1. 动物模型构建

  • 研究者采用小鼠模型模拟横纹肌溶解症,通过向小鼠肌肉内注射甘油诱发该病症,以此观察肾脏损伤情况。

  • 同时,利用基因敲除技术培育特定基因缺失小鼠,如#PAD4基因 敲除(Padi4−/−)小鼠,以及借助药物抑制剂(如#CLA)干预特定信号通路,对比不同处理组小鼠在模型诱导后的肾脏损伤指标,以探究METs在病理过程中的作用。

动物模型构建

 

动物模型构建

 

2. 细胞类型耗竭实验

  • 为分别研究巨噬细胞、中性粒细胞及血小板在横纹肌溶解症引发AKI中的具体贡献,研究者运用特定手段耗竭这些细胞类型。例如,使用克隆霉素脂质体耗竭巨噬细胞,借助抗Ly6G抗体耗竭中性粒细胞,以及利用抗GPIbα抗体耗竭血小板。

  • 通过对比耗竭与对照组小鼠在模型诱导后的肾脏损伤指标,明确各细胞类型在病理过程中的作用。

     

细胞类型耗竭实验

 

3. 免疫组化与免疫荧光染色

  • 借助免疫组化及免疫荧光技术,研究者对小鼠肾脏组织进行染色,以检测METs的存在与分布。

  • 使用特异性标记抗体(如针对CitH3、F4/80等),结合荧光显微镜观察,定位METs在肾脏中的具体位置,分析其与肾脏损伤区域的关联。

免疫组化与免疫荧光染色

 

4. 体外细胞实验

  • 研究者体外培养THP-1单核细胞系,诱导其分化为巨噬细胞后,模拟体内血小板激活及METs形成过程。
  • 通过预处理巨噬细胞(如加入DNase I、DPI、CLA等),观察不同干预下METs形成情况,探究血小板激活、ROS生成、PADs活性等环节对METs形成的影响。

体外细胞实验

研究结果

1. METs在横纹肌溶解症引发AKI中的作用

  • 研究发现,在横纹肌溶解症模型小鼠肾脏中,METs以无定形DNA结构形式存在,与citrullinated histone H3(#CitH3)共定位,且仅在肾小管中出现,未见于肾小球。

  • 与野生型(WT)小鼠相比,PAD4基因敲除(Padi4−/−)小鼠及经PAD抑制剂CLA处理小鼠,其#血清肌酐(Cr)、#血尿素氮(BUN)等AKI指标显著降低,且肾脏损伤程度减轻,表明METs在横纹肌溶解症引发AKI中起关键作用。

 

  • METs在横纹肌溶解症引发AKI中的作用
    METs在横纹肌溶解症引发AKI中的作用

 

2. 巨噬细胞与血小板的协同作用

  • 研究显示,巨噬细胞及血小板的耗竭均能显著减轻横纹肌溶解症引发的肾脏损伤,而中性粒细胞耗竭则无此效果。

  • 免疫荧光染色发现,CitH3仅与巨噬细胞标记F4/80共定位,而不与中性粒细胞标记Ly6G共定位。

  • 此外,研究还发现,血小板激活后与巨噬细胞上的Mac-1受体结合,触发ROS生成及 histone citrullination,进而促进METs形成。

巨噬细胞与血小板的协同作用
巨噬细胞与血小板的协同作用(1).png

 

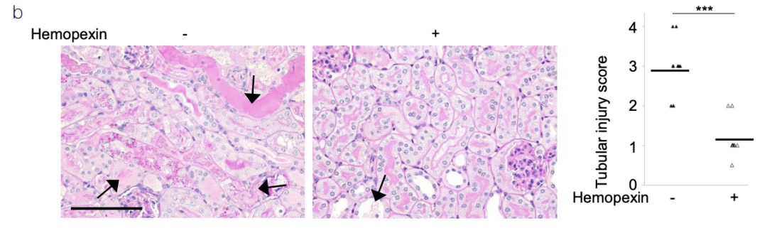
3. 潜在治疗策略

  • 研究者尝试使用多种药物干预,发现 #血色素结合蛋白 (hemopexin)能有效抑制NET及MET形成,从而减轻AKI损伤。
  • 此外,#乳铁蛋白(Lf)在体外实验中显著减少血小板诱导的MET形成,并在体内实验中预防了甘油诱导的横纹肌溶解症引发的肾脏损伤。
潜在治疗策略
潜在治疗策略

 

讨论

  • 本研究首次揭示了METs在横纹肌溶解症引发AKI中的关键作用,明确了血小板激活、巨噬细胞参与及ROS、PADs等环节在METs形成中的重要性。

  • 研究证实了巨噬细胞与血小板间的协同作用,血小板激活后通过与巨噬细胞上的Mac-1受体结合,触发一系列信号通路,最终导致METs形成。这一交互作用在横纹肌溶解症引发的肾脏损伤中起关键作用,提示针对此通路的干预可能成为治疗AKI的新策略。

  • 研究中发现的hemopexin及Lf等药物展现出对横纹肌溶解症引发AKI的潜在治疗效果,为临床治疗提供了新思路。未来需进一步开展临床试验,验证这些药物的疗效及安全性,以期为横纹肌溶解症患者带来新的治疗选择。

 

 

ATHENS为本研究所提供的产品

Athens Research & Biotechnology为本研究提供了血色素结合蛋白(#hemopexin),支持了对heme-activated platelets在rhabdomyolysis诱导的急性肾损伤(AKI)中作用的实验,揭示了通过在给药前4小时静脉注射hemopexin,可以显著降低肾损伤和血浆DNA释放,而对CK水平没有影响。如需购买Athens Research & Biotechnology公司产品,请联系Athens Research & Biotechnology国内授权一级代理商欣博盛生物。

 

这些产品在本研究中的功能用途

  • 作为heme的高亲和力结合蛋白,阻止其氧化活性

  • 通过形成复合物抑制heme诱导的MET形成

  • 在动物模型中减少#横纹肌溶解症(rhabdomyolysis)诱导的AKI相关损伤

 

关于ATHENS

 Athens Research & Technology公司(ART),自1986年成立以来,已近40年专注于生产优质天然蛋白质,致力于为体外诊断(IVD)行业及研究人员提供高纯度、高活性的产品。我们的制造流程严格,质量承诺值得信赖,确保客户能够依赖我们的蛋白质开发可靠、准确的诊断试剂,满足当今医疗保健的迫切需求。

ATHENS

详情请咨询 Athens 中国授权代理商——欣博盛生物

全国服务热线: 4006-800-892    邮箱: market@neobioscience.com

深圳: 0755-26755892    QQ:1030564316

北京: 010-88594029     QQ: 1627343418

上海: 021-34613729     QQ: 3196652930

广州: 020-87615159    香港: 852-69410778

代理品牌网站: www.nbs-bio.com

欣博盛品牌网站: www.neobioscience.net

欣博盛生物科技有限公司 商家主页

地 址: 深圳福田区梅华路105号多丽工业区科技楼605

联系人: Miss Yao

电 话: 0755-26755892(深圳) 010-88594029(北京) 021-34613729(上海) 020-87615159 (广州)

传 真: 0755-26755877

Email:market@neobioscience.com

相关咨询
ADVERTISEMENT